
Missing Teeth
Missing teeth can change your bite and facial balance - replacing them early helps maintain comfort, chewing function, and smile harmony.
What Causes Missing Teeth?
Missing teeth can happen from damage or oral disease, and they may impact nearby teeth if left untreated.
What causes it?
- Untreated tooth decay
- Gum disease
- Dental trauma or injury
- Severe tooth fracture
- Tooth extraction due to infection or damage


Continue Exploring
“A beautiful smile begins with healthy teeth and thoughtful care.”
Next up: Chipped Teeth
Chipped Teeth
Don't let a cracked tooth put your smile or oral health at risk - our advanced restorative solutions can fix the damage and help stop it from getting worse
What Causes Chipped Teeth?
A chipped tooth happens when a small part of the tooth breaks off, which can affect both the appearance and strength of the tooth.
What causes it?
- Biting hard food
- Accidents or fall
- Teeth grinding
- Habit of using teeth to open things
- When the tooth is already weakened by decay or old fillings


Continue Exploring
“Healthy teeth create the foundation for a confident, natural smile.”
Next up: Yellow Teeth
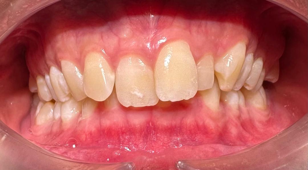
Yellow Teeth
Stains and discoloration can make your smile look dull - our modern whitening solutions help restore a brighter, cleaner smile safely.
What Causes Yellow Teeth?
Yellow teeth can happen over time due to daily habits, aging, and other factors that affect enamel and tooth color.
What causes it?
- Frequent coffee, tea, or dark-colored drinks
- Smoking or tobacco use
- Natural enamel thinning as we age
- Inadequate oral hygiene
- Long-term staining from food and plaque buildup


Continue Exploring
“Every smile shines brighter when comfort, health, and beauty come together.”
Next up: Crowding Teeth
Crowding Teeth
Crowded teeth can affect your bite, cleaning routine, and smile confidence - orthodontic treatment can align teeth for better function and aesthetics.
What Causes Crowding Teeth?
Teeth crowding happens when there isn't enough space in the jaw for teeth to align naturally.
What causes it?
- Genetics and jaw size
- Early loss of baby teeth
- Delayed eruption of permanent teeth
- Thumb sucking or oral habits in childhood
- Teeth shifting over time without retention



Start Your Smile Journey Here
Take the first step by submitting the form below to tell us about you and what’s bothering you dentally, we’ll be in touch soon.










