
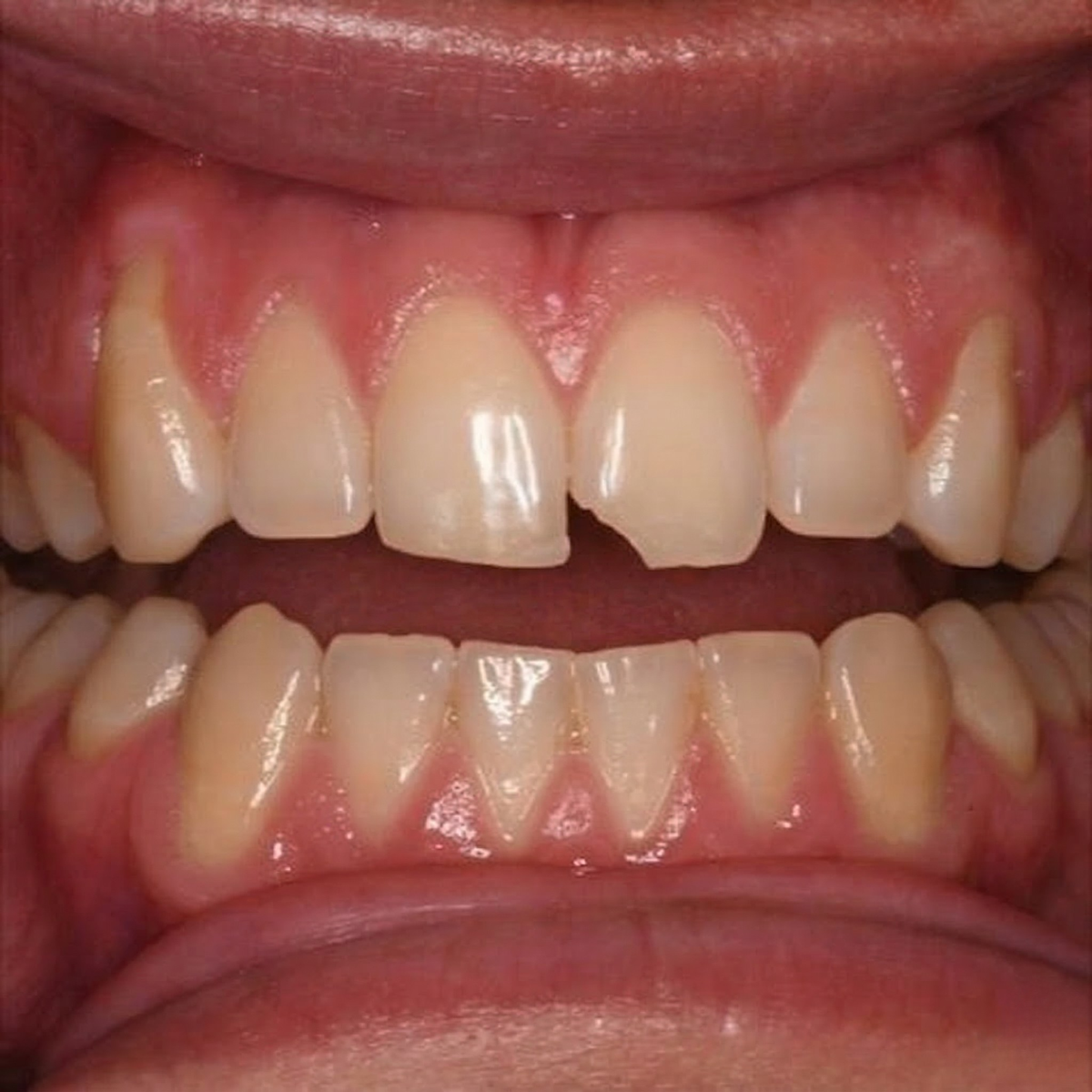
Chipped Teeth
Cracks and chips may make a tooth more prone to sensitivity or further damage.
"Yourdentalhealthmatterstous.That'swhywetaketimetolistenandprovidethebesttreatmentforyou.Tellusyourconcerns-we'lltakecareoftherest"

Chipped Teeth
Cracks and chips may make a tooth more prone to sensitivity or further damage.

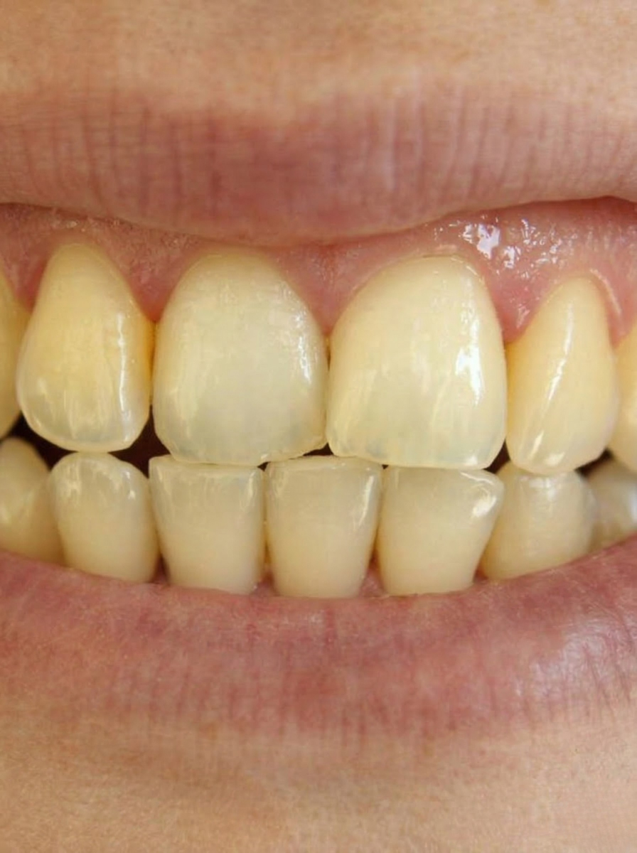
Yellow Teeth
Brighten stained teeth safely with professional whitening treatment.

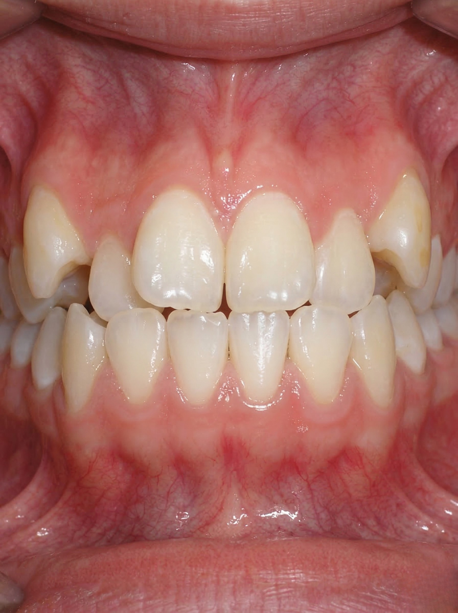
Crowding Teeth
Align crowded teeth for a healthier bite and cleaner smile line.

Missing Teeth
Missing teeth can change your bite and facial balance
Our Services
From routine check-ups to advanced treatments, we provide complete dental care tailored to your needs - so you can smile with confidence.
Our Results
Before
AfterDental Restoration
Before
AfterWhitening
Before
AfterConventional Braces
Before
AfterBridge




Our Expertise

A Message From Dentabay CEO
"At Dentabay, every smile is treated with precision, empathy, and consistent clinical standards across every branch."

Selected Branch
1 dentist
Perak

Dr 'Azmi
Our Testimonials
Fardhah Azman
Dentabay Bangi
“Dr Aniza was super nice and professional. She took the time to carefully explain each procedure and the costs. The treatment was gentle and everything was done perfectly. Also, semua staff sangat lahhh welcoming. Definitely recommend if you need dental care :)”

Take the first step by submitting the form below to tell us about you and what’s bothering you dentally, we’ll be in touch soon.